- サンディエゴのタウン情報
-
病院・医院
歯科・歯医者
美容整形
その他サービス - Alpha Dental/アルファ歯科医院
最終更新日 : 2026/03/06

Alpha Dental/アルファ歯科医院
良心的な価格の日本語の通じる歯科医院 最新の歯科機材、材料使用 しかも低料金、痛みを感じない麻酔、緊急患者即日対応, スポーツが大好きな気さくな桑本先生。ほとんどのPPO保険会社がインネットワークですので患者さんにとってお得なインネットワークの料金です。日系の会社、ミリタリーの保険、海外保険、割引/ 分割有。 新患者さん歓迎!
保険のない方向けプランあります:検診+レントゲン $100
一般、神経治療、審美、小児、マウスピース矯正、インプラント
ミニタリートライケアー新しい患者さん受け入れられるようになりました!
毎月のスペシャル ライトハウスの広告をご覧ください。
3月のスペシャル
保険のない患者様 ナイトガード $100Off リテイナー$50Off
最近、約70%の人がしていると言われる歯ぎしりや食いしばり、
歯科矯正の後、後戻り現象は、口やあごの動き・
インフォメーション
| 住所 | 4276 54th Pl., San Diego |
|---|---|
| 電話番号 | 619-997-0606(テキストOK) |
| yokodental@gmail.com | |
| 営業時間 | 月10-6pm 水金8:30am-4pm 第2土 8:30-4Pm |
| 休業日 | 木・日 |
| Webサイト | https://alphadentalsd.com/ |
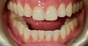
症例写真:チェアーサイドべニア
歯を全く削る必要がなく高額なセラミックのべニアに比べてとてもリーズナブル

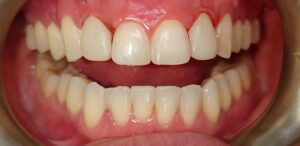
#7 chairside Veneer

#7 8 9 10 chairside veneers

虫歯での詰め物

○インビザラインで角度が治せなかった前から2番目の両方の歯をボンディングで整えることができます
ドクター、スタッフの紹介

桑本先生 スポーツが大好きで親しみやすい気さくな先生です
アルファデンチーム

ジナ ユウコ ユリコ ウオーターピック 講習

Happy Birthday Sam and Yuko!

ユウコ デニース ダニー